सुदूर नेपाललाई विश्वसँग जोड्दै

रोचक

असार २१, ०४:३४

सपनामा अर्की महिला देख्दा श्रीमानलाई दुःख, श्रीमतीले यौनाङ्गमा खन्याइन् तातोपानी

एजेन्सी: एक श्रीमानले सपनामा अर्की महिलालाई देखा दुःख खेप्नुपरेको छ। बोलिभियाको शहर ला पाजमा बस्दै आएका श्रीमानको... विस्तृतमा

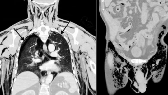
असार २०, १२:३९खबर संवाददाता

पुरुषको लिङ्गबाट अचानक सिट्ठी बजेपछि...

एजेन्सीः अमेरिकामा एक पुरुषले असामान्य स्वास्थ्य अवस्था भोग्नुपरेको छ। ती पुरुषको लिङ्गबाट अचानक सिट्ठी बजेको छ।... विस्तृतमा

असार १६, ०६:५५खबर संवाददाता

कम्पनीले गल्तीले २८६ गुणा बढी तलब पठायो, कर्मचारी राजीनामा दिएर फरार 

काठमाडौँ: अमेरिकी मुलुक चिली देशमा एक कर्मचारीको बैंक खातामा गल्तीले २ सय ८६ गुणा धेरै पैसा पठायो। चिलीको सबैभन्दा... विस्तृतमा

असार १४, ०५:०६खबर संवाददाता

कुकुरको जन्मदिनमा भव्य पार्टी, सय केजीको केक ४ हजार पाहुना

नयाँदिल्ली: मानिसको  प्रिय साथी कुकुरलाई खुसी बनाउन मानिसहरुले विभिन्न क्रियाकलाप गर्छन्। यस्तै, भारतका एक... विस्तृतमा

असार ८, ०१:५८खबर संवाददाता

वैज्ञानिकको दाबी – मलद्वारमार्फत् पनि मानिसले सास फेर्न सक्ने !

काठमाडौंः मानिसले अब मुखबाट मात्रै नभई आफ्नो मलद्वारबाट पनि सास फेर्न सक्ने वैज्ञानिकले दाबी गरेका छन्।... विस्तृतमा

असार ७, ०१:२६खबर संवाददाता

भेटियो संसारकै ठूलो माछा

काठमाडौं: कम्बोडियाको मेकोङ नदीमा समातिएको ३०० किलोको स्टिंग्रे माछा अहिलेसम्मको सबैभन्दा ठूलो फ्रेस वाटर (ताजा... विस्तृतमा